FACIAL AESTHETIC COSMETIC APPOINTMENTS NOW AVAILABLE!
Strengthen Your Smile
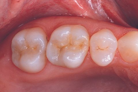
Bright Smiles Family & Cosmetic Dentistry offers a solution for tooth decay or for teeth that have dark, unattractive fillings. Composite resins can be added to create a healthier, more attractive look for fillings in your teeth. Composite resins are made of a plastic mixture that contains silicon dioxide. They look exactly like the teeth they are filling as we will match the exact color.
Composite resins strengthen your tooth and support its structure, keeping the tooth from breaking and preserving its natural look and feel. With composite resins, you will no longer have those dark, metal-like fillings that you will not want to show off.


Durable, Natural Fillings
Once your composite resin is in place, you can count on it to last for around 7 to 10 years. The resin supports your natural tooth structure, which prolongs the life of your tooth. The filling will also have that appearance you want, though it may become discolored over time because of food and beverage stains. If this happens, a clear plastic sealant can be used to change the color back.
Contact us to ask if composite resin fillings are right for you and your teeth.
